“La variedad de matrices hace que Halo™ sea un sistema muy versátil y útil para los casos del día a día. Además, la rigidez de estas matrices facilita la elevación de los márgenes profundos.”
- Dr. Santiago de Vega Calleja
Dentista
Caso clínico:
Exploración clínica y radiográfica:
• Restauración de Composite ocluso-mesial
• Caries profunda distal
Diagnóstico: Pulpitis reversible
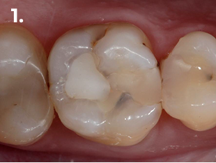
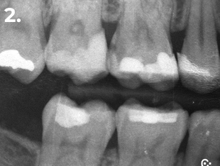
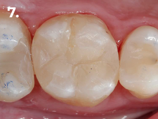
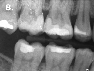
Paciente que acude a consulta refiriendo molestias en la zona del primer cuadrante. La exploración clínica y radiográfica reveló la presencia de una caries profunda distal, estableciéndose el diagnóstico pulpar de pulpitis reversible. Con el objetivo de lograr un adecuado punto de contacto tanto mesial como distal, se procedió a la eliminación completa de la restauración existente. El procedimiento se realizó bajo aislamiento absoluto, utilizando para el encofrado el sistema de matrices seccionales HALO. En la imagen clínica y radiográfica final se observan perfiles de emergencia bien conformados, convexos, así como puntos de contacto adecuados.

Fig. 1 Imagen Clínica Inicial

Fig. 2 Radiografía de aleta de mordida Inicial

Fig. 3 Aislamiento absoluto con dique de goma y remoción de la lesión de caries

Fig. 4 Encofrado con matrices seccionales de HALO™ y posicionamiento del anillo para conformar la pared mesial

Fig. 5 Conformación de la pared distal para transformar la cavidad en una clase 1

Fig. 6 Conformación de cúspides y surcos de la región oclusal

Fig. 7 Imagen Clínica final

Fig. 8 Radiografía de aleta de mordida final
Reflexión:
La rigidez del sistema de matrices HALO™ proporciona una notable estabilidad, lo que favorece la permanencia de la matriz en su posición incluso en márgenes profundos, simplificando así el procedimiento clínico.
.png?width=507&height=373&name=Halo_Parts_Final_Posed_Packaging_02_3D%201%20(1).png)
Sistema de Matrices Seccionales Halo™
El sistema de matrices seccionales Halo™ está diseñado para crear contactos estrechos y contornos hermosos y naturales para restauraciones duraderas en menos tiempo. El sistema incluye anillos de nitinol, bandas de matriz de acero inoxidable y cuñas. Cada uno de los componentes trabaja en conjunto para crear restauraciones moldeadas. El dispensador de carrusel permite seleccionar fácilmente los componentes que necesita cuando los necesita y ayuda a evitar derrames accidentales.
Más información: Sistema de Matrices Seccionales Halo™
El Autor

El Dr. Santiago de Vega Calleja es especialista en endodoncia y odontología restauradora. Licenciado en Odontología por la Universidad Complutense de Madrid (UCM), realizó el Máster en Ciencias Odontológicas (UCM) y el Máster en Endodoncia y Odontología Restauradora por la Universidad Rey Juan Carlos (URJC). Además, complementó su formación con estudios en Odontología estética mínimamente invasiva. Compagina su práctica clínica con la docencia, siendo profesor del Máster en Odontología restauradora estética y endodoncia de la URJC y forma parte del Grupo de investigación de alto rendimiento, desarrollo e innovación en Biomateriales Odontológicos de la URJC (IDIBO). Actualmente está matriculado en la Escuela Internacional de Doctorado de la URJC.
